В саратовский тубдиспансер вернули самовольно ушедшую пациентку

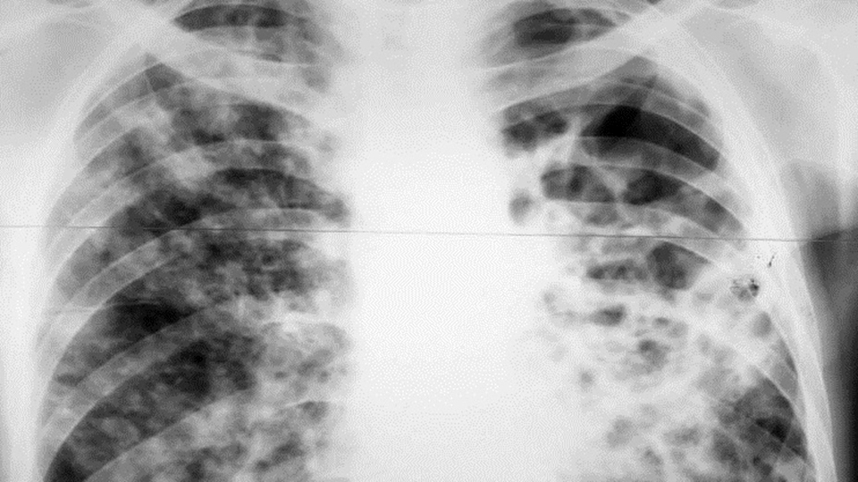
В Саратове 30-летнюю больную туберкулезом госпитализировали в принудительном порядке.

В Саратове 30-летнюю больную туберкулезом госпитализировали в принудительном порядке. Об этом сообщает региональное ГУ ФССП.

Пациентка с открытой формой туберкулеза находилась на лечении в профильном диспансере, но не долечилась и самовольно покинула больницу. Так как женщина ведет асоциальный образ жизни и игнорирует указания врачей, решение о принудительной госпитализации вынесли в судебном порядке.

Судебные приставы Волжского района возбудили исполнительное производство. По адресу регистрации женщина не проживала, однако ее удалось найти в Энгельсе.

После предупреждения об административной ответственности, пациентка все же согласилась вернуться в диспансер. Приставы и медики госпитализировали ее на спецтранспорте с использованием средств индивидуальной защиты.

Материал подготовила Кристина Некезова

Последние новости

Когда робот остановился: причины поломок серводвигателей и способы их спасения

Разбираем слабые места сложной техники и учимся продлевать срок службы приводов

Вздулись конденсаторы? Пора спасать блок питания – что делать и чего не делать

Распухшие детали внутри БП — тревожный сигнал. Разбираемся, как действовать грамотно и не испортить всё окончательно

ПРИОБЩЕНИЕ К БОГАТСТВУ РУССКОЙ КУЛЬТУРЫ И ЛИТЕРАТУРЫ

В балаковской СОШ № 28 состоялся конкурс чтецов Балаковской епархии «Хвалите имя Господне».

Когда скидки превращаются в ловушку: как маркетологи учат нас тратить

Почему “-50% только сегодня” не всегда значит выгоду, как скидки играют на эмоциях и почему даже рациональные люди становятся жертвами маркетинговых трюков.

Здесь вы найдете свежие и актуальные новости в Новосибирске, охватывающие все важные события в городе

Комментарии (0)

Добавить комментарий

Ваш email не публикуется. Обязательные поля отмечены *